Review Us:

When the structural integrity of a tooth has been compromised, be it from dental decay, cracks or fractures, restoring the damaged area with a filling serves to rebuild the tooth’s natural form and return it to full function.
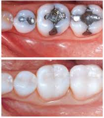
Up until recent decades, most dental fillings have been composed of amalgam, which is a mixture of metals. While amalgam fillings are very effective and durable, newer materials offer the benefits of being both mercury and metal free as well as much more aesthetic. These “tooth-colored or white fillings” invisibly restore the form and function of the involved tooth, while seamlessly blending in with the remaining tooth structure as well as the individual’s overall smile.
Tooth colored fillings are made out of the latest generation of composite resin materials in which filler particles are bound together by a hard matrix material. Strong and durable, tooth colored fillings are chemically bonded to fill and rebuild a tooth once the decayed or damaged tooth structure has been removed. With a low potential for expanding and contracting at different temperatures, composite fillings are less likely than traditional amalgam fillings to damage the remaining tooth structure over time.
In addition to restoring teeth affected by injury or decay, composite resins can also be used to cosmetically change the size, color or shape of teeth with imperfections or minor alignment issues such as spacing.